In linea il nostro nuovo sito web
Nel nostro studio da qualche mese abbiamo a disposizione una nuova tecnologia,lo scanner intraorale. E’ […]
Prevenzione dentale Dentista Monza
Nel nostro studio da qualche mese abbiamo a disposizione una nuova tecnologia,lo scanner intraorale. E’ […]
Soluzioni Cad-cam in campo dentistico
Nel nostro studio da qualche mese abbiamo a disposizione una nuova tecnologia,lo scanner intraorale. E’ […]
Cos’è l’ortodonzia invisibile?
Nel nostro studio da qualche mese abbiamo a disposizione una nuova tecnologia,lo scanner intraorale. E’ […]
Cure migliori con i raggi laser
Nel nostro studio da qualche mese abbiamo a disposizione una nuova tecnologia,lo scanner intraorale. E’ […]
Le nuove frontiere della chirurgia computer guidata
Nel nostro studio da qualche mese abbiamo a disposizione una nuova tecnologia,lo scanner intraorale. E’ […]
Prevenzione e igiene orale
Nel nostro studio da qualche mese abbiamo a disposizione una nuova tecnologia,lo scanner intraorale. E’ […]
L’importanza dei “denti da latte”
Nel nostro studio da qualche mese abbiamo a disposizione una nuova tecnologia,lo scanner intraorale. E’ […]
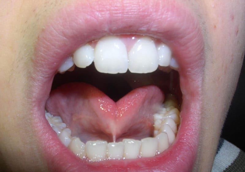
Frenulectomia e frenulotomia, significato e differenze operative
Nel nostro studio da qualche mese abbiamo a disposizione una nuova tecnologia,lo scanner intraorale. E’ […]
Perchè devitalizzare i denti da latte?
Nel nostro studio da qualche mese abbiamo a disposizione una nuova tecnologia,lo scanner intraorale. E’ […]









