In linea il nostro nuovo sito web
Nel nostro studio da qualche mese abbiamo a disposizione una nuova tecnologia,lo scanner intraorale. E’ […]
Prevenzione dentale Dentista Monza
Nel nostro studio da qualche mese abbiamo a disposizione una nuova tecnologia,lo scanner intraorale. E’ […]
Sorriso gengivale (Gummy Smile)
Nel nostro studio da qualche mese abbiamo a disposizione una nuova tecnologia,lo scanner intraorale. E’ […]
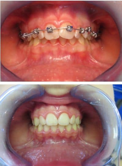
Domande frequenti di ortodonzia
Nel nostro studio da qualche mese abbiamo a disposizione una nuova tecnologia,lo scanner intraorale. E’ […]
Odontoiatria conservativa
Nel nostro studio da qualche mese abbiamo a disposizione una nuova tecnologia,lo scanner intraorale. E’ […]
Parodontite più diffusa tra gli uomini con diagnosi di disfunzione erettile
Nel nostro studio da qualche mese abbiamo a disposizione una nuova tecnologia,lo scanner intraorale. E’ […]
La cartella clinica odontoiatrica
Nel nostro studio da qualche mese abbiamo a disposizione una nuova tecnologia,lo scanner intraorale. E’ […]
TAC CONE BEAM
Nel nostro studio da qualche mese abbiamo a disposizione una nuova tecnologia,lo scanner intraorale. E’ […]
Erosione Dentale
Nel nostro studio da qualche mese abbiamo a disposizione una nuova tecnologia,lo scanner intraorale. E’ […]
10 Consigli del dentista
Nel nostro studio da qualche mese abbiamo a disposizione una nuova tecnologia,lo scanner intraorale. E’ […]









