In linea il nostro nuovo sito web
Nel nostro studio da qualche mese abbiamo a disposizione una nuova tecnologia,lo scanner intraorale. E’ […]
Prevenzione dentale Dentista Monza
Nel nostro studio da qualche mese abbiamo a disposizione una nuova tecnologia,lo scanner intraorale. E’ […]
Sorriso gengivale (Gummy Smile)
Nel nostro studio da qualche mese abbiamo a disposizione una nuova tecnologia,lo scanner intraorale. E’ […]
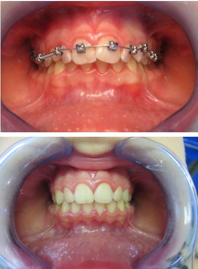
Domande frequenti di ortodonzia
Nel nostro studio da qualche mese abbiamo a disposizione una nuova tecnologia,lo scanner intraorale. E’ […]
Parodontite più diffusa tra gli uomini con diagnosi di disfunzione erettile
Nel nostro studio da qualche mese abbiamo a disposizione una nuova tecnologia,lo scanner intraorale. E’ […]
La cartella clinica odontoiatrica
Nel nostro studio da qualche mese abbiamo a disposizione una nuova tecnologia,lo scanner intraorale. E’ […]
TAC CONE BEAM
Nel nostro studio da qualche mese abbiamo a disposizione una nuova tecnologia,lo scanner intraorale. E’ […]
La saliva: preziosa alleata per avere denti bianchi e sani
Nel nostro studio da qualche mese abbiamo a disposizione una nuova tecnologia,lo scanner intraorale. E’ […]
Parodontite e Piorrea: facciamo un po’ di chiarezza
Nel nostro studio da qualche mese abbiamo a disposizione una nuova tecnologia,lo scanner intraorale. E’ […]
Prevenire le carie da bambini – FLUOROPROFILASSI: Che cosa è il fluoro e a che cosa serve?
Nel nostro studio da qualche mese abbiamo a disposizione una nuova tecnologia,lo scanner intraorale. E’ […]









